난임원인 / 검사 / 치료
DION FERTILITY CENTER
다낭성난소증후군

다낭성난소증후군 (polycystic ovary syndrome, PCOS)은 특징적으로
배란장애와 그로 인한 무월경 및 희소월경,
고안드로겐혈증, 다모증, 초음파상 다낭성난소 등의 양상을 나타내는
가임기 여성의 가장 흔한 내분비 질환일 뿐 아니라 여성 난임의 가장 흔한 원인입니다.

다낭성난소증후군의 진단

진단하는 여러가지 기준이 공존하고 있지만, 가장 널리 받아들여지고 있는 기준은
2003년 네덜란드 로테르담에서 열린 유럽/미국 생식내분비학회 연합(ESHRE/ASRM)에 의해
만들어진 Rotterdam criteria가 가장 공신력있게 받아들여지고 있습니다.

아래의 3가지 중의 2가지 이상 해당하면 다낭성난소증후군으로 진단됩니다.
1) 희발 또는 무배란 (Oligo-, An-ovulation)

(정상월경주기와 무배란성 다낭성난소증후군 환자의 월경주기에서의 호르몬 변화,  reference: Speroff 8th ed.)

2) 임상적 또는 생화학적 고안드로겐증 (쉽게 말하면 남성호르몬과다) (Hyperandrogenism)
(reference: Hatch et al., AJOG 1981.)
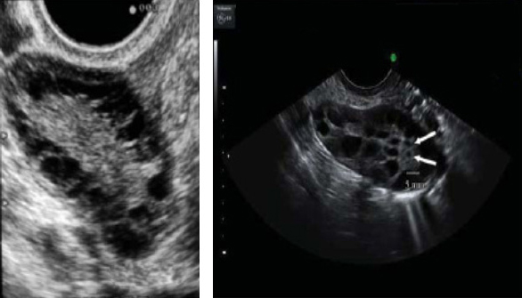
3) 초음파상 다낭성 난소

다낭성난소증후군의 임상적인 양상은 맞다/아니다로 딱 끊겨진 양상이 아니라
스펙트럼과 같이 연속적이고 모호한 양상을 가지기 때문에 항상 딱 맞아떨어지는 진단조건을 가지는 것은 아닙니다.
더욱이 다낭성난소증후군을 가진 사람은 갑상선 호르몬의 문제나 유즙분비호르몬의 과다를 동반하는 경우가 많고,
나이가 들어감에 따라 뇌하수체 호르몬 및 배란양상이 바뀔 수 있어서 진단에 더욱 유의해야 하며,
우리나라에서는 다낭성난소증후군 환자들이 급격한 다이어트를 시도하는 경우가 많아서 뇌하수체 기능저하와 같은
다른 호르몬 이상을 동반하는 경우도 많습니다. 자세한 진단과 그에 맞는 처치가 정확한 임신에 도달하게 할 수 있습니다.
여기저기서 공유되고 있는 다낭성난소증후군에 대한 정보는 외국문헌을 참고한 것이 많아서 서양사람들에게
많은 비만형 다낭성난소증후군에 대한 정보가 많이 공유되고 있는데, 우리나라를 포함한 동양사람에게는
서양인들에 비해 마른 체형의 다낭성난소증후군도 많고, 남성호르몬과다와 관련있는 임상양상도 적은 편이라서
자세한 진단을 위해서는 생식내분비 전문가에게 상담을 받으시는 것이 좋습니다.

다낭성난소증후군이 임신에 미치는 영향

황체화 호르몬 (LH)의 증가, 난포와 혈액 내의 테스토스테론 (testosterone)의 과다 생성,
SHBG의 감소로 인한 estrogen 및 testosterone의 활동성 증가가 보고되고 있습니다.
이로 인해 보조생식술을 위한 배란유도 시 다양한 크기의 다수 난포 생성이 유발될 뿐 아니라
조기 황체화 현상에 의해 비정상적 성선 호르몬 (estrogen, progesterone) 분비, 난포의 조기 퇴화,
난자 성숙도 및 질의 저하, 비정상적 배아발달 등이 유발되어 임신율이 저하되고 자연유산율이 증가됩니다.
단지 배란장애에 의한 임신율 저하뿐만 아니라 다른 내분비 호르몬에 의한 임신율 저하 및 유산율 증가를 보일 수 있으니,
확실한 임신을 위해서는 생식내분비 전문가와의 상담이 중요합니다.

다낭성난소증후군의 관리
1) 임신이 목적인 경우

다른 난임에 대한 원인이 없다고 여겨지는 경우에는 배란유도만으로 충분히 임신에 도달할 수 있습니다.
비만한 다낭성난소증후군의 경우 체중감소를 하는 것만으로도 배란유도에 도움이 되며,
클로미펜과 같은 배란유도약만으로도 충분한 경우가 많습니다.
경우에 따라 메트포민이나 치아졸리디네디온 계열의 약과 같은 인슐린 감수성 개선제가 도움이 되는 경우도 일부 있습니다.

다만 배란유도제에 저항성을 보이는 경우에는 성선자극호르몬제와 같은 주사제를 사용해야 배란유도가 가능한 경우도 있습니다.
배란유도를 통해 3개월 이상 임신에 도달하지 못했을 때에는 다른 난임에 대한 원인이 있는지 검사해보는 것이 중요합니다.

2) 임신계획이 당장은 없는 경우

배란이 잘 되지 않는 호르몬 환경에서 가장 우려해야하는 점은 자궁내막병변입니다.
배란이 잘 되지 않아서 프로게스테론이라는 호르몬이 결핍되는 환경이 반복되면
에스트로겐이라는 호르몬이 견제없이 독주하게 되어 자궁내막에
자궁내막용종, 자궁내막증식증 등의 나쁜 병변을 만들기가 쉽습니다.
자궁내막증식증의 경우 자궁내막암으로 진행할 수 있는 전암병변이기 때문에, 프로게스테론 호르몬을 투약하여
강제로라도 월경을 유발시키는 것이 자궁내막병변의 진행을 막을 수 있습니다.
가장 흔히 사용하는 약제는 경구피임약이나 주기적 요법의 프로게스테론제제입니다.